I nostri casi

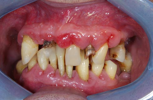
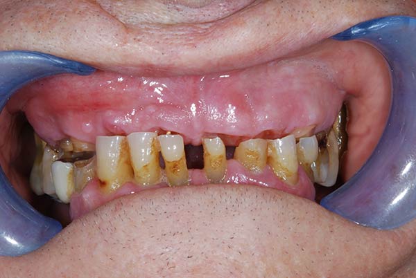
Riabilitazione implanto - protesica superiore ed inferiore in un paziente di 84 anni

Trattamento ortodontico nell'adulto con intrusione del I° molare superiore mediante l'utilizzo di mini impianti

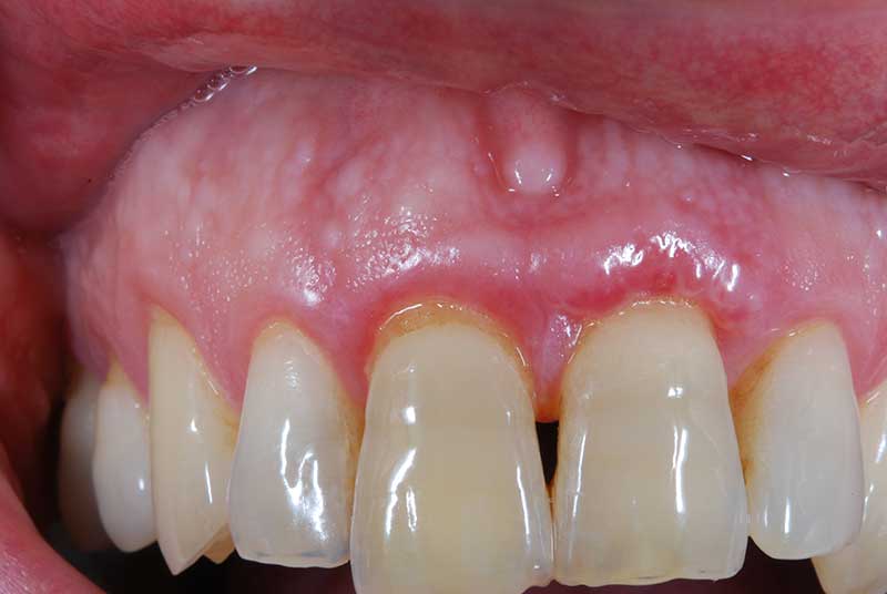
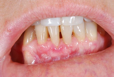
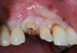
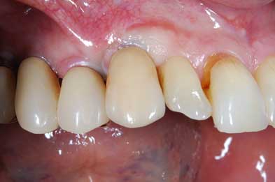
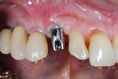
Lembo libero per correggere una recessione gengivale

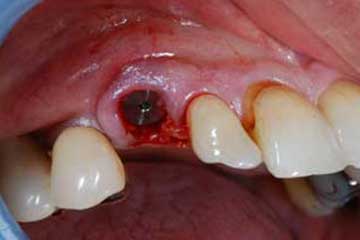
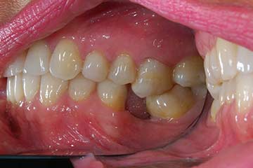
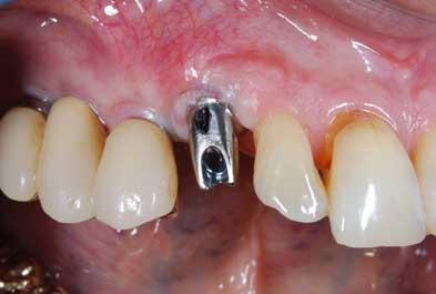
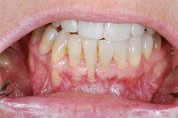
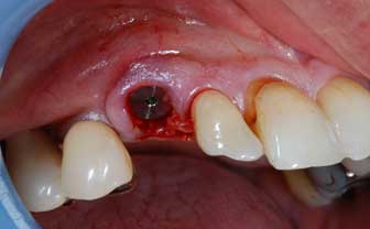
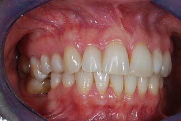
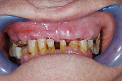
IMPIANTI POST-ESTRATTIVI

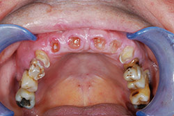
Con protesi fissa superiore e protesi fissa inferiore
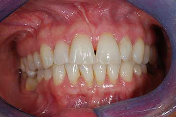
I denti irrecuperabili dell'arcata superiore ed inferiore del paziente di anni 65 sono stati sostituiti da 10 impianti, cioè protesi radicolari endo-ossee che sostengono le protesi fisse superiore ed inferiore.

Protesi totale con mesostruttura avvitata su 5 impianti in un paziente edentulo

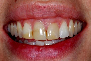
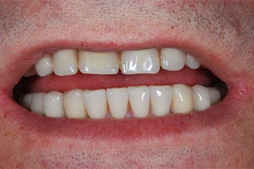
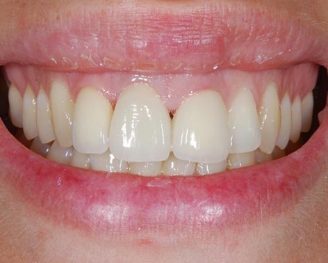
Faccette estetiche in ceramica

Riabilitazione gnatologica, ortodontica ed estetica

Durata del trattamento: un anno

Trattamento ortodontico nell'adulto

Impianto post-estrattivo

In un paziente cardiopatico di 72 anni

Lembo libero per correggere una recessione gengivale